
Why Would Someone Need a Root Canal?
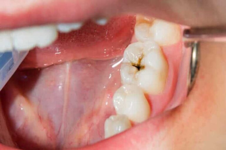
Root canals are one of the most common ways to save a damaged tooth. This procedure becomes necessary when decay, injury, or cracks allow bacteria

Root canals are one of the most common ways to save a damaged tooth. This procedure becomes necessary when decay, injury, or cracks allow bacteria

This procedure removes infected tissue from inside your tooth and seals it up to stop problems from spreading. Excellent dental care often means knowing when

Root canal recovery doesn’t have to be miserable if you know what to eat. Your mouth will be tender for a few days, so the

This procedure is pretty straightforward once you break it down step by step. West Hollywood’s premier dentist can walk you through each stage so you

The recovery is usually way more manageable than people expect. Your healing timeline depends on several factors, and knowing what to expect can make the

Root canals get a bad impression, but skipping one when you actually need it? That’s where the real problems start. Any leading dentist will tell

Root canal infections happen more often than most people think, and knowing the causes can help you avoid them. This blog breaks down the main

Not all cavities get treated the same way, and knowing which procedure fits your situation can save you time, money, and unnecessary pain. A reliable

Root canal treatments are supposed to clear out infection and save your tooth. But sometimes, an abscess sticks around even after the procedure is done.

If you’ve been dealing with ongoing tooth pain, swelling, discoloration, or those nasty abscesses, you might need to think about getting a root canal. These