Root canal infections happen more often than most people think, and knowing the causes can help you avoid them. This blog breaks down the main reasons a root canal might get infected, from skipping brushing to cracks in dental seals. Quality dental care plays a major role in preventing these issues before they become bigger problems. We’ll cover everything from bacteria buildup to what happens when decay goes untreated. By the end, you’ll have a clearer picture of what puts your teeth at risk and how to protect them.
Poor Oral Hygiene
Skipping regular brushing and flossing is one of the fastest ways to develop an infected root canal. When you don’t clean your teeth properly, plaque and bacteria build up and begin eating away at your enamel. If that decay keeps going, it eventually reaches the pulp, the soft inside part of your tooth, where nerves and blood vessels live. Once bacteria get into that area, infection sets in. You might notice pain, swelling, or even an abscess forming. Staying on top of your daily dental routine is one of the simplest ways to keep root canal infections off your radar.
Bacterial Residue
Bacteria left hanging around on your teeth can cause serious damage over time. These microorganisms form sticky layers called biofilms that regular brushing doesn’t always remove. The acids they produce wear down your enamel and open up pathways deeper into the tooth. If bacteria enter the pulp chamber through the root canal system, infection and inflammation follow. That’s why regular cleanings both at home and at the dentist matter so much for keeping bacterial buildup in check.
Incomplete Cleaning
Sometimes infections happen because the root canal procedure itself wasn’t thorough enough. If infected tissue or bacteria get left behind, the problem comes right back. A few things can lead to incomplete cleaning:
- Inadequate Irrigation: Not flushing out all the debris and bacteria from inside the canal.
- Missed Canal Branches: Skipping over smaller secondary canals where bacteria like to hide.
- Insufficient Instrumentation: Using tools that can’t reach every part of the root canal system.
Paying attention to these details during treatment makes a big difference in whether the procedure actually works long-term.
Cracked or Leaking Seal
A damaged seal inside the root canal is basically an open door for bacteria. When the sealant cracks or starts leaking, germs can slip back into the canal and start a new infection. This might happen because the sealant wasn’t placed correctly, has worn down naturally over time, or the tooth took a hit. Once that seal breaks, bacteria get in, causing inflammation and pain all over again. If this happens, you’ll probably need retreatment, removing the old seal, cleaning everything out, and resealing the canal to stop further infection.
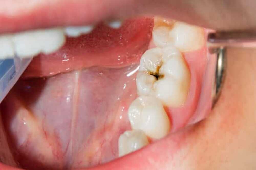
Untreated Decay
Letting decay sit without treatment is asking for trouble. Cavities that go ignored don’t just stay put; they dig deeper into the tooth over time. Eventually, the decay reaches the pulp chamber where the nerve sits, and that’s when the real pain kicks in. At that point, a root canal might be the only option to save the tooth.
- Consequences of Untreated Decay:
- Bacteria move in and start an infection.
- Inflammation builds up near the nerve, causing serious discomfort.
- Abscesses can form if the condition persists.
Pre-existing Infection
If there’s already an infection in the tooth before treatment starts, the risk of complications increases. That infection can spread into surrounding tissue and even into the bone if it’s not handled. This leads to intense pain, swelling, and possible abscess formation. During the root canal procedure, it’s harder to clear out all the bacteria when infection has already taken hold. The dentist also has a harder time achieving a clean seal on the canals, which increases the risk of reinfection down the line. Getting infections assessed and managed upfront gives root canal therapy the best shot at actually working.
Related Topics:



